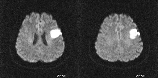
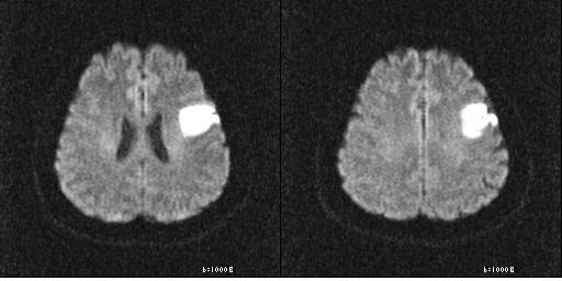
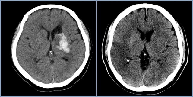
뇌경색은 뇌로 가는 혈액 공급이 차단되면서 발생하는 질환이며, 뇌의 특정 부분이 손상되어 여러 가지 신체 기능에 영향을 미칠 수 있습니다. 이 질환의 초기 증상들을 인지하는 것은 매우 중요합니다.



조기에 발견하면 적절한 치료를 통해 뇌경색으로 인한 손상을 최소화할 수 있기 때문입니다. 이번 포스팅에서는 뇌경색의 초기 증상 7가지를 자세히 알아보도록 하겠습니다.
뇌경색이란 무엇인가요?
뇌경색은 뇌의 혈관이 막혀서 뇌에 산소와 영양분이 공급되지 않게 되는 상태를 의미합니다. 이런 혈액 공급이 차단되면 뇌세포가 손상되거나 사멸하게 됩니다. 급성 뇌경색은 시간이 지남에 따라 위험성이 증가하므로, 초기 증상을 빠르게 인식하는 것이 필요합니다. 뇌경색은 주로 고혈압, 고지혈증, 당뇨병 등의 만성 질환과 연관이 있습니다.
이 질환의 발생 원인은 다양합니다. 동맥경화증, 심장병, 과호흡증 등이 주요한 원인으로 작용할 수 있습니다. 무엇보다도 뇌경색을 예방하려면 평소에 건강한 식습관과 규칙적인 운동을 유지하는 것이 중요합니다. 그럼 이제 뇌경색의 초기 증상에 대해 알아보도록 하겠습니다.
뇌경색 초기증상 1: 신체의 한쪽이 마비되거나 힘이 빠진다
뇌경색 초기 증상 중 하나는 신체의 한쪽이 마비되거나 힘이 빠지는 것입니다. 이 증상은 좌뇌나 우뇌가 손상되었을 때 특정 부분에 나타납니다. 예를 들어, 왼쪽 뇌경색에 의해 오른쪽 팔이나 다리가 마비될 수 있습니다. 이러한 마비는 갑작스럽게 발생하며, 보통 환자는 자신의 몸의 반쪽에 힘이 들어가지 않거나 감각이 둔해진다고 느낍니다.
이 증상은 잠깐의 감각 이상으로 나타날 수 있지만, 신속히 정상 상태로 돌아오지 않는다면 즉시 의료기관에 도움을 요청해야 합니다. 마비 증상은 뇌의 손상 정도에 따라 달라질 수 있으며, 명확한 자각이 어렵습니다. 그러므로 주변에서 관찰하는 것이 중요합니다.
뇌경색 초기증상 2: 언어 장애
두 번째 초기 증상은 언어 장애입니다. 뇌 경색이 발생하면 쉽게 말하기가 어려워질 수 있으며, 때로는 타인과의 의사소통이 불가능해질 수도 있습니다. 언어가 어눌해지거나 단어 찾기에 어려움을 겪게 되는 경우가 많습니다. 또한, 발음을 제대로 할 수 없는 경우도 있습니다.
환자는 자신의 말이 잘 통하지 않거나 주변 사람이 자신의 말을 이해하지 못한다고 느끼게 되는 경우가 많습니다. 이러한 증상은 부족한 혈액 공급으로 인한 뇌 영역의 손상에서 기인합니다. 특히 언어와 관련된 뇌 영역은 좌측 대뇌반구에 위치하고 있어, 해당 부위의 손상이 언어 장애를 초래할 수 있습니다.
뇌경색 초기증상 3: 시각 장애
뇌경색이 발생할 경우 시각적 변화가 나타날 수 있습니다. 특정 방향에서 시각이 흐릿해지거나, 한쪽 시야가 차단되는 증상을 experiencing할 수 있습니다. 예를 들어, 오른쪽 뇌의 경색이 발생할 경우 왼쪽 시야가 사라지는 것과 같은 증상이 나타날 수 있습니다.
이러한 시각 장애는 대개 갑작스럽게 발생하며, 하루나 몇 분 안에 발생할 수 있습니다. 따라서 이런 시각적 이상을 경험하신다면, 즉시 전문의와 상담하여 필요한 검사를 받아야 합니다. 초기 증상을 간과하게 되면 더 심각한 합병증을 초래할 수 있습니다.
뇌경색 초기증상 4: 균형 감각의 상실
균형 감각의 상실 또한 뇌경색의 초기 증상 중 하나입니다. 환자는 갑작스럽게 걷거나 서 있을 때 균형을 유지하기 어려워질 수 있습니다. 때로는 머리가 어지럽고, 넘어지거나 불안정한 자세를 취하게 될 수 있습니다.
이때는 대개 뇌의 특정 영역, 특히 균형과 관련된 영역이 손상되었음을 나타냅니다. 주변에서 환자의 균형이 나빠진 모습을 관찰할 수 있다면, 신속히 도움을 요청해야 합니다. 뇌경색은 시간이 지남에 따라 상태가 악화될 수 있기 때문에, 조기에 대처하는 것이 중요합니다.
뇌경색 초기증상 5: 얼굴의 비틀림
얼굴의 비틀림 또한 뇌경색의 초기 징후로써 나타납니다. 이 증상은 주로 신경전달물질의 불균형으로 인해 발생합니다. 얼굴의 한쪽이 아래로 처지거나, 미소를 지었을 때 얼굴의 양쪽 비대칭이 나타날 수 있습니다.
환자는 자신이 낯선 자아를 마주하게 되는 경우가 많습니다. 이러한 증상은 마비의 조기 신호일 수도 있으므로, 주의 깊게 살펴보아야 합니다. 비틀림 증상이 간단하게 지나칠 수 없도록, 주변 사람들이 주목해 주시는 것이 중요합니다.






뇌경색 초기증상 6: 두통
두통은 여러 질병에서 흔히 발생하는 증상이지만, 뇌경색의 초기 증상으로도 나타날 수 있습니다. 특히 갑작스럽고 심한 두통이 발생하는 경우, 이는 주의해야 할 신호일 수 있습니다. 이러한 두통은 때로는 "가장 심한 두통"으로 묘사되기 때문에 한 번도 경험하지 못한 두통이 다가올 수 있습니다.
환자는 즉시 두통이 발생한 시간과 증상의 강도를 기록하고, 가능하다면 의료 전문가와 상담하여 적절한 조치를 취해야 합니다. 두통은 단순한 통증일 뿐만 아니라, 뇌의 심각한 손상을 의미할 수도 있습니다.






뇌경색 초기증상 7: 혼란스러움
마지막으로 혼란스러움은 뇌경색의 초기 증상 중 하나로 나타날 수 있습니다. 환자는 갑자기 기억력이 감소하거나, 상황 판단에 어려움을 겪게 됩니다. 이는 뇌의 특정 부분의 기능이 저하되었음을 나타냅니다.
환자는 주변 상황을 이해하는 데 어려움을 느끼거나, 일상적인 질문에 답변하는 것조차 힘들어질 수 있습니다. 이러한 증상이 발생하는 경우, 빠른 시간 내에 전문의와 상담하여 조치를 취하는 것이 필수적입니다.






결론
뇌경색의 초기 증상은 신속히 인식하는 것이 중요하며, 증상이 발견되면 지체 없이 의료기관을 방문해야 합니다. 앞서 언급한 7가지 증상은 뇌경색의 경고 신호로 작용할 수 있으므로, 특히 고령자나 만성 질환 있는 분들은 주의 깊게 살펴보아야 합니다. 조기에 발견하고 치료할수록 그만큼 뇌세포 손상을 최소화할 수 있습니다.






데이터에 따르면, 뇌경색은 조기 치료를 통해 예후가 많이 향상됩니다. 따라서, 주위의 사람들과 함께 뇌경색의 초기 증상에 대해 잘 알고 있는 것이 중요합니다. 당신의 소중한 가족과 친구들이 건강하게 지낼 수 있도록 도움을 주시기 바랍니다.
뇌경색에 대한 인식을 높이고, 초기 증상이 발생했을 때 즉시 대응할 수 있도록 정보를 전달하신다면, 많은 사람들의 생명을 구할 수 있을 것입니다. 이 포스팅이 도움이 되었기를 바랍니다.